Avem peste 10 ani de experienta. Printre primii nostri pacienti au fost cei din familia noastra. Au urmat prietenii. Prietenii prietenilor. Am crescut odata cu numarul pacientilor. Iar acestia au continuat sa aprecieze abordarea noastra unica. O mare parte dintre cei ce ne trec pragul ne devin prieteni. Pentru ca noi suntem in primul rand oameni si abia apoi doctori. Pentru ca noi am trait realitatea de a trata oamenii ca si cum ti-ar fi familie sau prieteni apropiati. Intelegem ca fiecare om are nevoie de caldura si intelegere, are nevoie sa fie ascultat si tratat cu blandete. Pentru ca nu doar durerea de dinti este importanta.
Omul este, in intregime. Stim ca atunci cand ai nevoie de un doctor bun, nu ai nevoie doar de o manopera lipsita de suflet. Stim ca, de cele mai multe ori, un necaz nu vine niciodata singur iar oamenilor le este frica sau au tot felul de temeri atunci cand merg la doctor. Intelegem ca fiecare vizita pentru consultatie sau tratament inseamna un efort, inseamna frica, inseamna ganduri neexprimate si asteptari ce pot trece neobservate. Si pentru ca stim aceste lucruri, vom evita mereu sa te simti “procesat” ca un caz oarecare. Ai ajuns intr-un mediu profesionist dar calm si cald. Un spatiu in care suntem constienti ca atunci cand te doare ceva, ai nevoie de ajutor si intelegere.
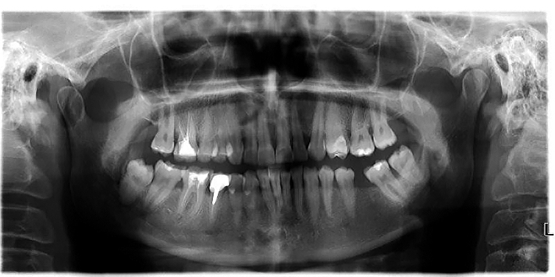
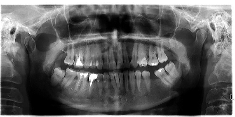
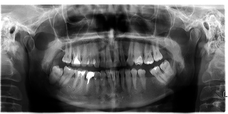
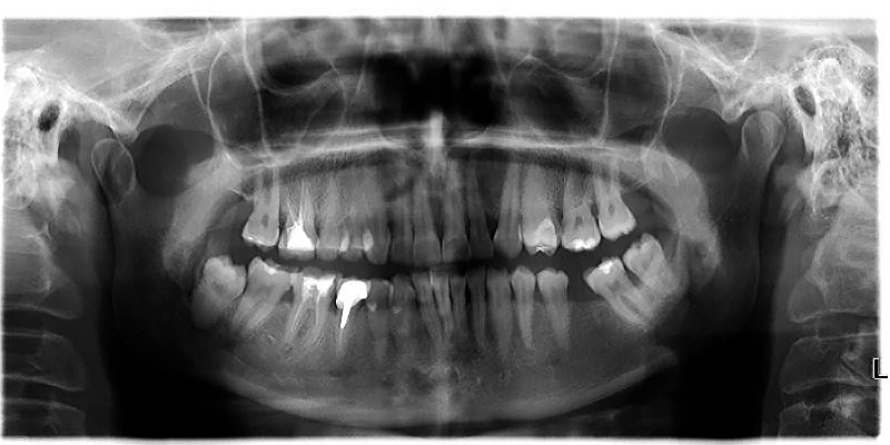
Ne-am concentrat mereu pe a oferi un serviciu de cea mai buna calitate in conditii accesibile. In acelasi timp, evitam pe cat de mult sa pierdem din timpul pacientilor nostri, redirectionandu-i pentru investigatii suplimentare. Avem deja mijloacele de investigatie la noi in clinica. Fie ca ai nevoie de o radiografie simpla sau panoramica, de tratament la microscop, consultatie ortodontica sau interventie chirurgicala, noi te putem ajuta. Am ales cu atentie medicii cu care colaboram, ei fiind nu doar specialisti de exceptie dar si oameni in adevaratul sens al cuvantului.
Ne-am facut un renume din a avea grija de copii si dintisorii lor problematici. I-am primit pe toti cu rabdare, atentie si blandete si cu multe sfaturi bune pentru parintii lor. Ne-am daruit cu totul profesiei noastre si am venit in intampinarea pacientilor nostri cu un program flexibil si adaptat nevoilor lor. Vrem sa continuam sa ne raspandim filozofia noastra. Sa tratam oamenii omeneste, profesionist dar si cu rabdare si intelegere. Stim ca este un succes si ne vom incapatana sa credem ca viitorul medicinei este tratamentul adaptat fiecarei nevoi si mai ales fiecarui om in parte.

La BLIDENT, noi credem ca putem oferi un serviciu stomatologic de cea mai buna calitate si care se incadreaza in bugetul unui om obisnuit

Avem o experienta indelungata in tratarea problemelor specifice copiilor (Pedodontie)

O echipa medicala pentru un zambet care straluceste de sanatate

Oferim servicii stomatologice de cea mai buna calitate, cu atentie fata de fiecare pacinet si nevoile sale, la preturi accesibile
Te ajutam sa ai zambetul pe care il doresti! Metode moderne, fara durere, specialisti cu experienta.
Avem deja mijloacele de investigatie la noi in clinica. Fie ca ai nevoie de o radiografie simpla sau panoramica, de tratament la microscop, consultatie ortodontica sau interventie chirurgicala, noi te putem ajuta. Am ales cu atentie medicii cu care colaboram, ei fiind nu doar specialisti de exceptie dar si oameni in adevaratul sens al cuvantului. Ne-am facut un renume din a avea grija de copii si dintisorii lor problematici. I-am primit pe toti cu rabdare, atentie si blandete si cu multe sfaturi bune pentru parintii lor. Ne-am daruit cu totul profesiei noastre si am venit in intampinarea pacientilor nostri cu un program flexibil si adaptat nevoilor lor. Vrem sa continuam sa ne raspandim filozofia noastra. Sa tratam oamenii omeneste, profesionist dar si cu rabdare si intelegere. Stim ca este un succes si ne vom incapatana sa credem ca viitorul medicinei este tratamentul adaptat fiecarei nevoi si mai ales fiecarui om in parte.
